文献共读 | SS-OCT和SS-OCTA在后葡萄膜炎中的临床应用 ——小柳-原田综合征(VKH)
文献共读 | SS-OCT深度探测RB视网膜母细胞瘤
中国之声丨陈吉利教授:糖网筛查哪家强?人工智能来帮忙!
SS-OCT视网膜厚度偏差图在羟氯喹视网膜病变筛查中的应用
文献共读 | SS-OCT和SS-OCTA在后葡萄膜炎中的临床应用 ——小柳-原田综合征(VKH), Case 2
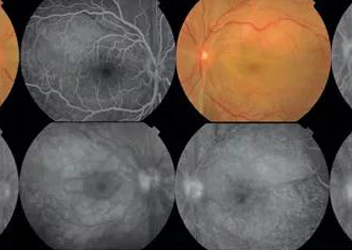
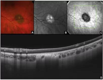
文献共读 | 脉络膜痣在扫频光学相干断层扫描和近红外光成像技术下的影像学特征
微信公众号