当前栏目: 学习共读 > 文献共读 | SS-OCT和SS-OCTA在
文献共读 | SS-OCT和SS-OCTA在
发布:拓普康(医疗) 更新时间:2021年02月26日
编者按
后葡萄膜炎又称脉络膜炎,因脉络膜和视网膜邻接,脉络膜发炎时往往波及视网膜,所以又称为脉络膜视网膜炎。后葡萄膜炎的主要病理改变在于黄斑、脉络膜和脉络膜血管灌注的异常。因此准确的检测这些病理改变对诊断和治疗后葡萄模炎都具有重要意义。
近年来新出现的扫频光学相干断层扫描(SS-OCT)和光学相干断层扫描血管造影(SS-OCTA)技术开创了无创性、在体检测视网膜和脉络膜层间结构的新时代,可以揭示不同后葡萄膜炎潜在的新致病机制,并加深了我们对后葡萄膜炎的理解。
此外,SS-OCT还可以克服后葡萄膜炎的并发症,如瞳孔扩张不良或屈光介质混浊造成的成像障碍。
那么在临床中如何使用这些新技术帮助我们诊断和治疗后葡萄摸炎呢?接下来我们通过Magdy Moussa博士的病例直观的了解一下SS-OCT和SS-OCTA如何加深我们对不同后葡萄膜炎疾病的理解。
病例
一名58岁的男性双侧视力下降,持续时间约3个月。左眼视力下降更为严重。他以前有过双眼视觉障碍类似发作的病史。他的最佳矫正视力(BCVA)在左眼和右眼分别为6/60和1/60。在接受全身性类固醇治疗后,该患者的急性发作完全消失,右眼的视网膜结构恢复正常,脉络膜厚度正常。右眼的BCVA改善为6/6。
上图左:右眼的彩色眼底照片和FFA
上图左:该患者左眼的彩色眼底照片和FFA。
上图左:右眼的彩色眼底照片和FFA
图中可见:
1、由于多灶性神经感觉层脱离和视网膜下浆液性渗出物的沉积相结合,使得后极部具有乳白色的外观,还可看到视乳头充血。
2、FFA显示持续到静脉期的斑块状脉络膜充盈,并且RPE出现多个针孔样渗漏点,神经感觉层脱离区域弥散性高荧光。
3、SS-OCT径向扫描显示脉络膜增厚(800μm)和脉络膜血管充血明显增加。脉络膜内散布着许多高反射点,可能代表细胞炎性聚集。RPE有多个折痕(白色箭头)。视网膜神经感觉层出现由多个低反射组织(星号)间隔的高反射区域。黄斑中央厚度(CMT)为970μm。
4、椭圆体带和外层视网膜完全破裂。
上图右为脉络膜毛细血管在6×6 mm视野中的SS-OCTA正面图像。
注意分散在脉络膜毛细血管层(白色圆圈)内的多个离散的低灌注区域。相应的流量密度图显示为蓝色阴影,意味着血管密度显著降低。
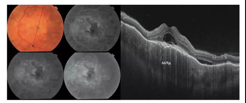
上图左:该患者左眼的彩色眼底照片和FFA。
除了VKH的急性期特征外,黄斑区还显示出视网膜下的黄绿色病变,表明FFA早期少量的渗漏,晚期染色则提示其主要为瘢痕成分。右图:径向扫描SS-OCT显示脉络膜增厚(669μm)。
上图左:治疗后
上图左:在随访期间进行左眼SS-OCT径向扫描,显示神经感觉层脱离以及先前提到的视网膜下病变的消退。右图:在4个月的随访中,SS-OCTA图像和6×6 mm视野中相应的视网膜外侧血流密度图显示了与新生血管复合物中高血流相对应的高强度信号。病变内大量成熟的大血管意味着主要是无活性的脉络膜新生血管(CNV)复合体。
上图左:治疗后
在大剂量全身性类固醇治疗后15天和4个月时,右眼的放射状扫描SS-OCT图像可见:神经感觉层脱离和椭圆体带损伤完全恢复。RPE有残留的信号增强。右图:在4个月的随访中6×6 mm视野中脉络膜毛细血管SS-OCTA图像以及相应的血流密度图显示,脉络膜毛细血管明显恢复正常,表明脉络膜毛细血管的灌注得到改善。
上图左:在随访期间进行左眼SS-OCT径向扫描,显示神经感觉层脱离以及先前提到的视网膜下病变的消退。右图:在4个月的随访中,SS-OCTA图像和6×6 mm视野中相应的视网膜外侧血流密度图显示了与新生血管复合物中高血流相对应的高强度信号。病变内大量成熟的大血管意味着主要是无活性的脉络膜新生血管(CNV)复合体。
总结
在OCTA检查中,脉络膜毛细血管丢失表现为界限清晰的无灌注区,炎症消退后可恢复。炎症反复发作并随后破坏RPE-Bruch复合物可能触发CNV形成。在这种情况下,OCTA通过展示外层视网膜中CNV形成的高强度信号特征,帮助将CNV与炎症反应分开。


