当前栏目: 学习共读 > 文献共读 | SS-OCT和SS-OCTA在
文献共读 | SS-OCT和SS-OCTA在
发布:拓普康(医疗) 更新时间:2020年10月21日
原文:
Swept-Source Optical Coherence Tomography and Optical Coherence Tomography Angiography in Selected Posterior Uveitides
作者:Magdy Moussa and Mahmoud Leila
本篇共读者:李成,中山大学中山眼科中心医生,博士
编者按
编者按
上一期,我们介绍了利用SS-OCT和SS-OCTA可以无创性、活体检测视网膜和脉络膜层间结构的特性,揭示视网膜椭圆体带及脉络膜毛细血管灌注在VKH疾病进程中的变化,并提示 CNV的可能形成原因。
病例

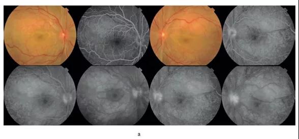
图a:VKH急性发作的16岁女性双眼眼底彩照及FFA。图中可见ONH充血,神经上皮层脱离,并伴有浅黄色视网膜下渗出物。双眼FFA可见RPE层大量渗漏点。VKH急性期典型的星空样表现。FFA晚期可见荧光素从扩张的视盘血管渗漏、聚集到视网膜下腔,导致的ONH的高荧光。
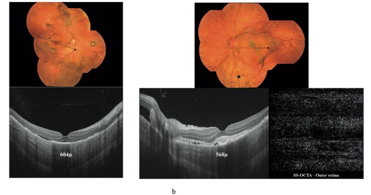
图b 上:5个月后同一位患者的双眼眼底照。该患者接受了大剂量的全身类固醇治疗,VKH进入慢性期。请注意特征性“晚霞样”眼底。左眼可见明显Dalen-Fuchs结节的形成(星号)。左眼黄斑区绿色视网膜下病变。
病例
一名16岁女性,因双侧视力下降约2周入院。入院时双眼视力均为6/60,眼底检查可见双眼后极部多灶性、浆液性视网膜脱离,同时伴有淡黄色视网膜下渗出液及ONH充血。FFA可见RPE层大量渗漏点,以及荧光素从扩张的视盘血管渗漏、聚集到视网膜下腔,导致的ONH的高荧光。患者在接受大剂量类固醇治疗五个月后,双眼的眼底可见视网膜神经上皮层脱离,并出现了RPE的扩散和脉络膜色素紊乱。但左眼的黄斑区可见黄绿色视网膜下病变,是否提示CNV的形成?

图a:VKH急性发作的16岁女性双眼眼底彩照及FFA。图中可见ONH充血,神经上皮层脱离,并伴有浅黄色视网膜下渗出物。双眼FFA可见RPE层大量渗漏点。VKH急性期典型的星空样表现。FFA晚期可见荧光素从扩张的视盘血管渗漏、聚集到视网膜下腔,导致的ONH的高荧光。
图b 上:5个月后同一位患者的双眼眼底照。该患者接受了大剂量的全身类固醇治疗,VKH进入慢性期。请注意特征性“晚霞样”眼底。左眼可见明显Dalen-Fuchs结节的形成(星号)。左眼黄斑区绿色视网膜下病变。
左下:右眼SS-OCT高分辨率线性扫描(12.0 mm),显示RPE层不规则增厚,RPE及视网膜下高反射物质沉积,以及残留的神经上皮层脱离。注意,脉络膜仍明显增厚。
右下:左眼SS-OCT高分辨率线性扫描(12.0 mm)。与彩色照片中所见的黄斑病变相对应,SS-OCT显示在中心凹下可见高反射性病变,此时不能排除有CNV形成的可能性。但在相应的SS-OCTA扫描 6×6 mm图像视野中,可以看到,无新生血管的正常视网膜低信号表现,因此可以排除CNV的形成。
总结
总结
VKH慢性期右眼SS-OCT扫描显示神经上皮层脱离,脉络膜持续增厚。左眼SS-OCT显示视网膜下高反射性病变,与眼底彩照中的黄斑病变相对应。由于左右眼两种病变在OCT上有相似的光反射特性,仅靠OCT断层影像难以鉴别是视网膜下炎性改变还是CNV,但通过SS-OCTA分层影像可以明确地排除CNV的形成。


