当前栏目: 学习共读 > 文献共读 | 脉络膜痣在扫频
文献共读 | 脉络膜痣在扫频
发布:拓普康(医疗) 更新时间:2020年10月21日
原文:
Swept-Source OCT and Near-Infrared Reflectance Patterns in Choroidal Nevi
作者:Clara V.A.,Vasilios P. P.,
Praveen J. P.,et al
本篇共读者:
汕头国际眼科中心:刘琳娜、汪佶,
指导老师:邱坤良 博士、副主任医师
编者按
编者按
既往研究表明,脉络膜痣为眼内常见的良性肿物,有潜在机率恶变为脉络膜黑色素瘤。临床上。脉络膜痣与小的脉络膜黑色素瘤不易区分,作为金标准的眼内组织活检难以常规应用,因此,需要研发新型脉络膜成像技术以帮助临床上评估脉络膜病灶。
既往研究表明,脉络膜痣为眼内常见的良性肿物,有潜在机率恶变为脉络膜黑色素瘤。临床上。脉络膜痣与小的脉络膜黑色素瘤不易区分,作为金标准的眼内组织活检难以常规应用,因此,需要研发新型脉络膜成像技术以帮助临床上评估脉络膜病灶。基于波长为1050 nm扫频光源研发的扫频光学相干断层扫描技术(SS-OCT)具有非接触性、扫描速度快(100,000A扫描/秒)、分辨率高,并且对眼内组织具有较好的穿透性,在脉络膜成像上具有独特的优势。此外,采用波长1050 nm的近红外光成像(NIR)技术由于波长较长的特点,对视网膜下组织结构也具有较强的穿透性与可视性。
在当前研究中,作者首先基于SS-OCT图像中的影像学表现特征对脉络膜痣进行分型,并在此分型基础上分析总结了脉络膜痣在不同波长(1050-nm和820-nm)NIR下的影像学表现。
研究方法
研究结果
研究方法
采用SS-OCT的5线扫描模式获取脉络膜痣扫描图像(以脉络膜病灶为中心,扫描线间距为0.25mm),根据病灶在图像中的反射强度、是否伴有下方遮蔽阴影及对应巩膜边界是否清晰等标准将脉络膜痣分为A型(图1),B型(图2)和C型(图3)三种类型(表1)。脉络膜痣的色素型与非色素型则依据眼底彩照进行分类。后续分别使用频域OCT(Heidel- berg Spectralis; Heidelberg Engineering, Heidelberg, Germany)的820nm和SS-OCT(DRI OCT-1 Atlantis; Topcon Corporation, Tokyo, Japan)的1050nm两种波长的NIR技术对脉络膜痣的影像学表现进行观察分析。
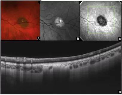
A型脉络膜痣影像学特征。其中A为眼底彩照;B及C分别为波长820nm、1050nm 下的NIR图像,其中,820nm波长NIR下脉络膜痣表现为高反射,1050nm波长NIR下脉络膜痣为低反射;D为SS-OCT扫描图像,脉络膜痣病灶呈高反射伴下方组织遮蔽阴影,对应巩膜边界不可见。
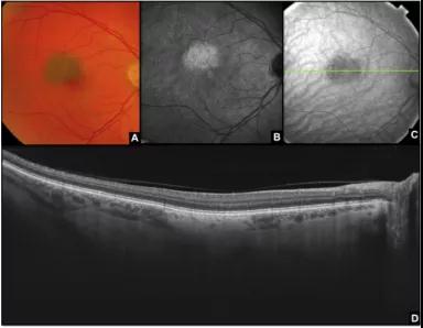
B型脉络膜痣影像学特征。A为眼底彩照;B及C分别为820nm和1050nm NIR图像,脉络膜痣病灶在两种NIR图像上分别表现为高反射和低反射;D图为SS-OCT图像,病灶呈中等反射且不伴下方阴影,对应巩膜边界部分可见。
C型脉络膜痣影像学特征。其中A为眼底彩照;B及C分别为对应的820nm和1050nm NIR图像,脉络膜病灶均表现为高反射;D为SS-OCT图像,病灶呈低反射,不伴下方阴影,对应巩膜边界完全可见。

A型脉络膜痣影像学特征。其中A为眼底彩照;B及C分别为波长820nm、1050nm 下的NIR图像,其中,820nm波长NIR下脉络膜痣表现为高反射,1050nm波长NIR下脉络膜痣为低反射;D为SS-OCT扫描图像,脉络膜痣病灶呈高反射伴下方组织遮蔽阴影,对应巩膜边界不可见。

B型脉络膜痣影像学特征。A为眼底彩照;B及C分别为820nm和1050nm NIR图像,脉络膜痣病灶在两种NIR图像上分别表现为高反射和低反射;D图为SS-OCT图像,病灶呈中等反射且不伴下方阴影,对应巩膜边界部分可见。

C型脉络膜痣影像学特征。其中A为眼底彩照;B及C分别为对应的820nm和1050nm NIR图像,脉络膜病灶均表现为高反射;D为SS-OCT图像,病灶呈低反射,不伴下方阴影,对应巩膜边界完全可见。
研究结果
共有来自98名患者的104例脉络膜痣纳入当前分析。其中,按有无色素分类,93.3%(97例)为色素型且单眼发病;按是否存在发展成黑色素瘤的危险因素分类,7.7%(8例)因存在危险因素被归类为可疑恶变脉络膜痣。
一、基于SS-OCT检查中影像学特点的脉络膜痣分型情况
在全部104例脉络膜痣病灶中,97例能基于SS-OCT标准进行分型。其中,A型最多,为51例(49%),其次为C型27例(26%),B型19例(18.3%)。在7例非色素痣中,4例被归类为C型,3例不属于上述任何一类。
二、基于NIR中影像学特点的脉络膜痣分类情况
在820 nm NIR图像中,79例为高反射(76%),其余25例表现为中反射(24%),未见低反射表现者。而在1050nm NIR图像中,高,中,低反射分别为8例(7.7%),34例(32.7%)及62例(59.6%)。
三、SS-OCT与NIR图像结果的相关性分析
大部分的A型痣(94.1%),B型痣(68.4%)以及可疑恶变脉络膜痣在820nm NIR中表现为中高反射而在1050nm NIR中表现为中反射或低反射,A、B型痣(P<0.001)及可疑恶变脉络膜痣(P<0.02)在两种不同波长下NIR的影像学表现存在显著的相关性。C型痣在两种不同波长NIR下的影像学表现则没有显著的相关性(P=0.09)。
总结
本研究系统论述了脉络膜痣在SS-OCT检查中的影像学特征以及波长为1050nm、820nm两种NIR技术下的影像学特点,并进一步依据SS-OCT影像学特征,将脉络膜痣分为3种不同的类型,其分型是否具有重要的临床意义尚待进一步的深入研究。


